欢迎来到海迎化学(上海)有限公司 版权所有官方网站!
帮助中心
品名
货号
CAS号
或者
结构式搜索
查看所有商品分类>>
首页
关于生化谷
联系我们
生物类
耗材
培养管
移液管
吸管
PCR管
冻存管
吸头
离心管
大试管
试剂
生化试剂
免疫试剂
分子生物学
标准品
抗体试剂
细胞培养试剂
生化检测试剂盒
实验室器具
比色皿
加样槽
孔板及工具
过滤器
酶标板
酶标条
板框
酶标条盖
板类
移液器和控制器
离心机
细胞培养
培养瓶
细胞培养瓶
培养液瓶及辅助工具
接收瓶
细胞培养板
培养板
细胞辅助工具
胞培养板
培养皿
细胞培养皿
细胞培养辅助工具
细菌培养皿及辅助工具
其他类
抗体
实验室耗材
玻璃仪器
接头类
接头
三通接头
克莱森接头
“Y”型接头
连接接头
连接接头
双磨口接头
互换接头
转移接头
转换接头
输入接头
抽滤接头
通气接头
蒸馏接头
抽气接头
直型抽气接头
省空间抽气接头
90°抽气接头
高真空阀连接接头
流量控制接头
温度计接头
防溅(泡沫)球
防溅球
防泡沫球
蒸发、旋蒸类
旋转蒸发
弯头
弯头
油泡器
油泡
防倒吸油泡器
洗气、气洗类
气体洗瓶,具砂板
洗气装置
分馏柱、头
分馏柱
分馏头
冷凝器
高效冷却器
直型冷凝器
高水速直型冷凝器
微型杜瓦冷凝器
球型冷凝器
冷凝器
冷指冷凝器
空气冷凝器
FRIEDRICHS高容量冷凝器
蛇型冷凝器
格氏蛇型冷凝器
蛇型回流冷凝器
高容量回流冷凝器
回流冷凝器
层析柱
闪式层析柱
具砂板层析柱
具存储球层析柱
具内螺纹口层析柱(带砂板)
减压层析柱
层析流量(压力)控制阀
层析用溶剂存储瓶
层析用溶剂存储瓶
层析硅胶
TLC展开槽
存储瓶
溶剂流量存储瓶
溶剂存储瓶
溶剂存储球瓶
带砝兰口溶剂存储瓶
微量蒸馏器/球
微量蒸馏器/套
带真空夹层微量(垂刺)蒸馏器
微量垂刺蒸馏器
垂刺微量蒸馏器
一体式蒸馏/减压器
蒸馏球
蒸馏头类
蒸馏头
75°蒸馏头
105°蒸馏头
带夹层/刺蒸馏头
溶剂蒸馏头
微量蒸馏头/装置
HICKMAN 微量蒸馏头
HICKMAN-HINKLE微量蒸馏头
温度计/管
具磨口温度计(红色煤油)
微量可调式温度计套管
干燥装置
元素分析干燥装置/瓶
溶剂干燥装置
具高真空阀式溶剂干燥装置
提取器
脂肪提取器/套
液-液提取器
瓶类
杜瓦瓶
烧瓶
厚壁茄型瓶
球瓶
两口球瓶
三口瓶
四口瓶
三角瓶
鸡心瓶
抽滤瓶
反应瓶
厚壁耐压瓶
漏斗类
漏斗
布什漏斗
具磨口漏斗
加液漏斗
分液漏斗
滴液漏斗
微/称量漏斗
坩埚类
坩埚
管类
反应管
抽提套管
具砂板过滤管
气体扩散管
真空/接收器(管)
干燥管
三叉接受管
Y型三通连接管
三通蒸馏接受管
分水蒸馏接收管
多肽固相合成管/瓶
(加压)过滤器/装置
过滤器
流动相过滤器
加压过滤装置
砂芯过滤球
分配器
双排管真空气体分配器
双排管真空气体分配器(空心节门塞)
双排管真空气体分配器(实心节门塞)
单排管真空气体分配器
单排管真空气体分配器(四氟节门)
单排管真空气体分配器(玻璃节门)
单排管真空气体分配器(高真空阀)
单排管真空气体分配器(#15砝兰盘磨口)
溶剂转移分配器
冷阱类
具(球)磨口冷阱
一体式冷阱
冷阱
双冷阱装置
杜瓦型冷阱
塞子
四氟节门塞
空心球磨塞(球磨口)
空心玻璃塞
实心玻璃塞
玻璃塞
法兰盘塞子
四氟塞子
橡胶塞/帽
节门/阀门
玻璃节门
高真空/阀/节门
开关阀
四氟直孔节门
升华器
升华器
成套玻璃仪器
微量有机化学成套玻璃仪器
有机化学成套玻璃仪器
核磁管/附件
核磁管/附件
搅拌类
磁力搅拌子
搅拌附件
附件
安瓶
夹子/卡子
不锈钢弹簧及卡子
尼龙盖
具孔盖(尼龙)
手套
核磁管清洗机
可拆卸的软管连接
四氟夹/套
针头
实验室设备
分析耗材
材料化学
MOF材料
有机光电材料
有机硅
有机中间体
氨基酸及多肽
杂环化合物
精细化学
分析色谱
材料科学
生命科学
合成化学
原材料
抑制剂
抑制剂/拮抗剂
其他
原料药
Organic Intermediate
Inhibitor
Active Pharmaceutical Ingredient
务保障、一站式 采购;订单全程跟 踪;无忧退换货
首页
>
产品中心
>
生物类
>
抗体
抗体
产品名称
CD5
英文名称
CD5
产品名称
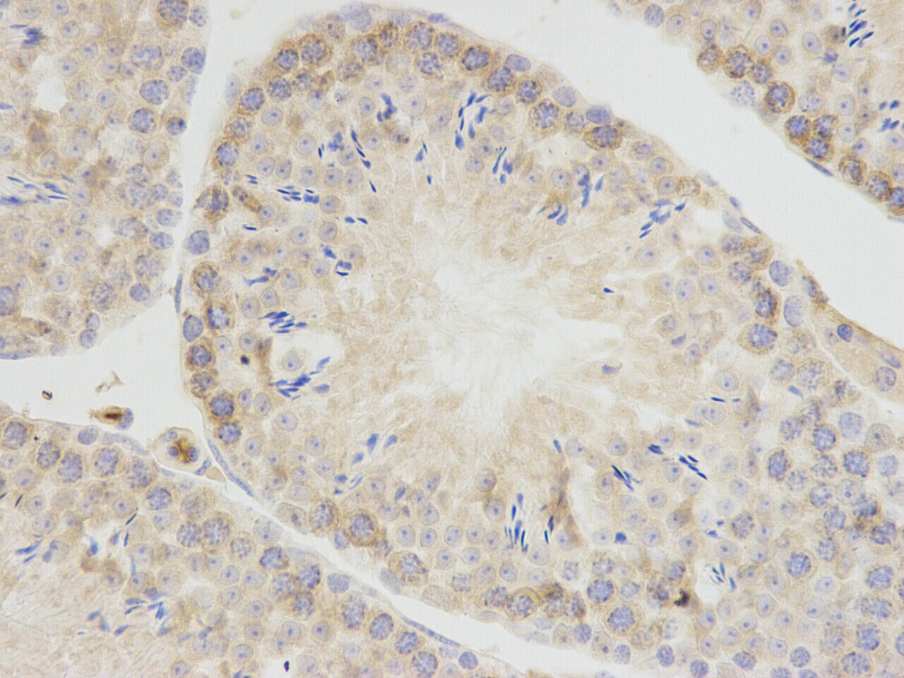
Estrogen Receptor alpha
英文名称
Estrogen Receptor alpha
产品名称
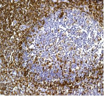
CD4
英文名称
CD4
产品名称
双排管真空气体分配器,具高真空阀,3,350mm,3小咀,左右前左后
英文名称
Double-row vacuum gas distributor with high vacuum valve, 3,350mm, 3 small nozzles, left, right, front left, rear
产品名称
GRP78
英文名称
GRP78
产品名称
双排管真空气体分配器,具高真空阀,4,450mm,3小咀,左右前左后
英文名称
Double-row vacuum gas distributor with high vacuum valve, 4,450mm, 3 small nozzles, left, right, front left, rear
产品名称
Eftud2
英文名称
Eftud2
产品名称
FGFR2/CD332
英文名称
FGFR2/CD332
第 116 页 / 共 209 页
第一页
上一页
下一页
最末页
20
50
100
200
转到